Skip to content

Breast density

Last updated: 19 February 2025
1/3
  1. Breast density
  2. Breast density and mammograms
  3. Grades of breast density
Breast density

Key points

  • Women with a higher proportion of fibroglandular breast tissue to fatty tissue have denser breasts.
  • Breast density is influenced by genetics, age, weight, hormone treatments, ethnicity and physical activity.
  • Breast density by itself is associated with a moderate risk of breast cancer.
  • Women with high breast density should consider having annual mammograms.

Breast density

Breast tissue is made up of fibroglandular tissue (glandular tissue and fibrous connective tissue that supports the breast) and fatty tissue. Dense breasts have more fibroglandular tissue, while non-dense breasts have more fatty tissue. Increased breast density is not palpable in the breast but it can be viewed on a mammogram.

Breast density is relatively common, affecting almost half of all women. Denser breast tissue can be influenced by genetics, age (being younger), weight (lower BMI), endocrine treatments like hormone replacement therapy (HRT), ethnicity and physical activity.

Dense breasts have also been linked to an increased risk of breast cancer. By itself, dense breasts carry a moderate risk of breast cancer. However, when combined with other factors (i.e. inherited risk, higher BMI and older age), it can become an important consideration for the patient’s individual risk profile.

Women under 40 have a higher proportion of fibroglandular tissue to fatty tissue, and so routine mammograms are not recommended for this age group (with the exception of high-risk patients). While breast density declines with age, women on HRT have higher breast density, so annual screening is recommended in this group.

Breast density and mammograms

Cancer cells and dense breast tissue appear white on mammograms. Dense breasts can make it harder to interpret mammogram results, and can ‘mask’ cancer cells. However, the risk of the masking effect has reduced since BreastScreen Aotearoa, the national breast screening programme, became fully digital.

Breast density is not currently measured through BreastScreen Aotearoa (BSA). Women must have mammograms through the private system if they wish to know their density grade. Those with high breast density could consider having yearly mammograms at their own cost. These patients may also be offered ultrasound, digital breast tomosynthesis or MRI (for high-risk patients) for more accurate imaging.

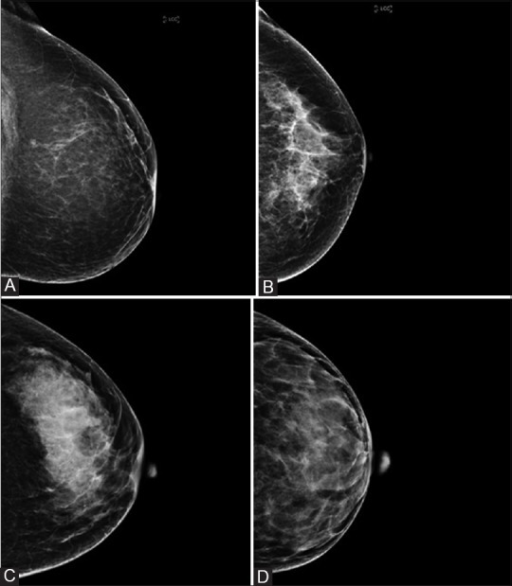
Grades of breast density

Evaluation of breast parenchymal density with QUANTRA software by S. Pahwa, S. Hari, S. Thulkar, S. Angraal is licensed under CC BY-NC-SA 3.0
View larger

Breast density is graded from 1-4, indicating the amount of fibroglandular tissue in the breast.

One: This indicates the breast is composed almost entirely of fat, and fibroglandular tissue makes up less than 25% of the breast. Around one in 10 women will have this result.

Two: Fibroglandular tissue makes up 25-50% of the breast. Four in 10 women will have this result.

Three: This grade is given to moderately dense breasts, where fibroglandular tissue makes up 51-75% of the breast. Four in 10 women will have this result.

Four: At this grade, the breast tissue is considered extremely dense, with the breast composed of 75% fibroglandular tissue. Around one in 10 women will have this result.

Was this article helpful?

Suggest an edit

Suggest an edit

Would additional content be helpful on this page? Email suggestions and feedback to intouch@bcf.org.nz. Thank you.

This field is optional
(e.g.+6421 000 0000)